고혈압이 없는 정상인의 경우에도, 야간수면 중 혈압이 상승하는 경우 정상혈압인 사람들보다 뇌백질변화 위험이 증가하는 것으로 밝혀졌다.
고려대 안산병원 수면장애센터 이성희 박사는 40-69세의 정상혈압을 가진 성인 남녀 703명을 대상으로 수면다원검사와 뇌 자기공명영상 검사를 실시한 결과 이 같이 나타났다고 2일 밝혔다.
연구에 따르면 혈압약 효과를 배제하기 위해 고혈압이 있는 사람들을 제외한 703명의 정상인들 사이에서도 야간수면 중에는 낮 동안의 혈압에 비해 높은 혈압을 보이는 사람들이 12.7%로 조사 됐다. 수면중 발생하는 혈압 상승은 자율신경계 조절장애와 교감신경 활성도 증가로 인한 것으로 수면무호흡 환자에게 빈번하게 나타나는 증상이다.
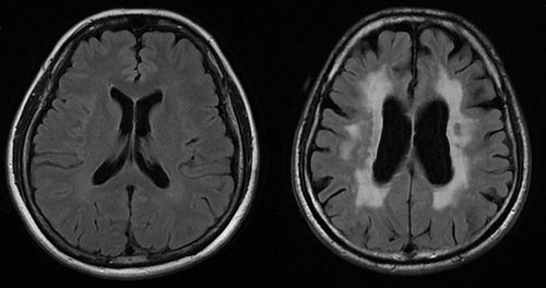
![]() |
| 정상인의 MRI 사진(왼쪽)과 야간혈압 상승으로 인해 뇌백질이 변화한 환자의 사진(오른쪽)이다. /고려대안산병원 제공 |
야간수면 상태에서의 혈압상승과 뇌백질변화와의 연관성을 찾기 위해 낮 동안과 밤 동안 수축기혈압 차이를 이용해 연구 대상자들을 구분했다. 일반적인 경우 수면 중 수축기혈압 차이가 10-20% 감소하기 때문에 이를 ‘일반’으로 하고 혈압이 증가하는 경우를 ‘상승’으로 설정해 비교한 결과, 밤에 잠을 자면서 혈압이 상승하는 경우 뇌백질변화 위험을 정상상태보다 약 1.5배 증가시켰다.
특히 수면다원검사를 통해 측정된 무호흡-저호흡 지수(apnea-hypopnea index, AHI)로 실험 대상자들을 정상, 경증도 수면무호흡, 중증도 수면무호흡 세 가지로 나누어 분석한 결과 야간수면 시 혈압상승 상태에서 중증도 이상의 수면무호흡증을 동반하는 경우에는 뇌백질변화 위험이 약 4.7배까지 치솟았다.
신철 교수는 “뇌백질변화는 고혈압이 없는 사람들에게도 일어날 수 있으며, 이는 정상인도 치매와 알츠하이머 발생의 위험인자를 가지고 있다는 것을 시사한다”고 말했다.
이어 “수면 문제가 한 달 이상 지속되는 등 수면장애가 의심되는 경우 조기에 진단 및 치료를 받는 것이 뇌백질변화 위험을 줄이는 좋은 방법”이라고 설명했다.
연구결과는 10월 해외저명 학술지인 ‘고혈압 저널(Journal of Hypertension)’ 32호에 게재될 예정이다.
헬스팀 최성훈 기자 cshoon@segye.com
<세계섹션>세계섹션>


