우리나라에는 ‘좌식문화’라는 특유의 문화가 있다. 이는 우리나라 특유의 온돌 문화 때문이다. 맨바닥에서 식사를 하고 TV를 보고 여가생활을 하며, 업무나 공부도 앉아서 하는 사람들도 있다. 이 문화는 외국, 특히 서양에서 넘어와 한국생활을 하는 사람들이 어렵게 생각한다.
이 때문에 한국인에게는 ‘소건막류’라는 특정 족부질환이 자주 발생한다. 따라서 바닥에 앉을 때는 양반다리로 앉기보다는 다리를 쭉 펴고 앉아 발가락이 눌리지 않도록 해줘야 한다. 또 하이힐처럼 앞볼이 좁고 뾰족한 신발도 자주 신지 않는 것이 좋다.
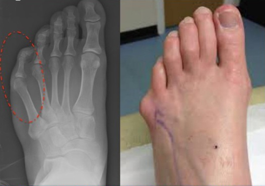
2일 의료계에 따르면 소건막류는 새끼발가락이 바깥으로 돌출되면서 발생하는 족부질환이다. 이는 엄지발가락이 바깥으로 돌출되면서 발생하는 질환인 ‘무지외반증’의 반대라고 생각하면 쉽다.
한국인의 좌식생활이 소건막류를 유발하는 원인을 찾아보긴 어렵지 않다. 딱딱한 바닥에 책상다리로 앉다 보면 새끼발가락에 강한 압력이 가해지면서 휘어지게 된다.
소건막류는 한 때 ‘재봉사 건막류’라고 불리기도 했다. 양반다리를 한 상태로 오래 작업을 해야 하는 재봉사들의 업무 특성상 이 병을 앓고 있는 사람이 많았기 때문이다.
소건막류는 대부분 후천적으로 발생한다. 새끼발가락이 돌출되기 때문에 증세가 심해지면 바로 알 수 있지만 눈으로 확인하기 전에도 신호가 온다. 유난히 새끼발가락이 아프고 빨갛게 변하거나 발바닥에 굳은살이 생긴다면 소건막류를 의심해 볼 수 있다.
증상이 미미하거나 일시적이라고 생각하다가 만성으로 굳어지게 되면 쉽게 낫지 않기 때문에 항상 유의해야 한다. 다만 대부분의 족부질환이 그렇듯 소건막류도 대수롭지 않게 여기다가 증세가 심해지면 다른 부위에까지 무리가 생긴다는 점이 문제다.
족부전문의인 연세건우병원 박의현 정형외과 병원장은 “새끼발가락 변형이 진행될수록 주변 발가락 균형이 붕괴돼 갈퀴족지와 같은 합병증이 발생하기 쉬우며 몸의 무게 중심이 무너져 발목이나 무릎, 골반, 허리 등에 무리를 주게 될 수 있다”고 경고했다.
박 병원장은 이어 “돌출 부위와 맞닿는 부위에 피부궤양이 생길 수도 있기에 새끼발가락에 굳은살이 생기거나 굳은살을 깎아도 소용없는 경우, 어떤 신발을 신어도 새끼발가락 부위가 조이고 아픈 경우에는 빠르게 족부전문의를 찾아 치료를 시작해야 한다”고 덧붙였다.
소건막류 대부분이 후천적이기 때문에 생활습관을 개선하는 것으로 충분히 예방이 가능하다. 바닥에 앉을 때는 양반다리로 앉기 보다는 다리를 펴고 앉아 발가락이 눌리지 않도록 해주는 것이 좋으며 특히 바닥에 앉아 공부를 하거나 작업을 하는 것은 지양해야 한다.
박 병원장은 “앞볼이 좁고 뾰족한 신발도 소건막류를 일으킬 수 있기 때문에 신발은 가능한 한 앞이 뾰족한 것 대신 발 폭에 여유가 있는 것을 골라야 발가락과 신발의 마찰이 줄고 뼈에 무리가 가지 않는다”라며 “만약 하이힐을 피할 수 없다면 최장 6시간을 넘기지 않게 신으며 중간 중간 신발을 벗고 휴식을 취해줘야 한다”고 조언했다

