갑작스런 고열과 복통, 급성 간농양과 간부전으로 간이식까지 논의됐던 50대가 검사 결과 기생충 감염에 따른 것으로 확인된 사례가 알려졌다.
16일 가톨릭대 서울성모병원에 따르면 소화기 내과 성필수 교수, 조문영 임상강사, 병리과 이성학 교수 연구팀은 급성 간부전으로 간이식 치료까지 논의됐던 환자에 개회충증을 진단, 극적으로 치료에 성공했다. 이런 내용은 소화기학분야 최고 권위 학술지 ‘위장병학 (Gastroenterology)’에 게재됐다.
환자는 평소 기저질환이 없던 51세 여성으로 갑자기 39도 고열과 오른쪽 복부 통증이 지속돼 병원을 찾았다. 검사결과 백혈구, 호산구가 급격히 증가하고, 심각한 간농양이 확인됐다. 간농양은 면역기능이 떨어졌거나 세균이 간으로 침투해 발생하는 것으로, 간에 종괴 같은 고름이 생기는 질환이다.
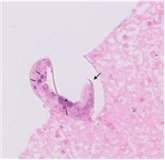
일반적인 치료에 반응이 없는 심각한 간농양으로 인해 환자는 급격하게 간 기능이 손상, 간부전이 진행돼 간이식 수술을 위해 서울성모병원으로 전원됐다. 성 교수팀은 간 조직 검사에서 개회충 유충을 발견, 개회충증으로 인한 간농양 및 간동맥 가성동맥류 출혈을 진단하고 항원충제(구충제) 복용과 염증반응을 개선시키기 위한 스테로이드로 치료를 진행했다. 급격한 간부전 악화와 출혈로 간이식까지 논의되던 환자가 약물과 보존적 치료만으로 극적으로 호전돼 퇴원하게 된 것이다.
기생충으로 인한 간농양은 국내 보건의료와 위생 수준이 높아지면서 드물지만, 익히지 않은 생고기, 생간, 오염된 흙이 묻은 야채를 섭취할 경우 간, 폐, 눈, 뇌에 염증반응을 일으켜 심각한 결과를 초래할 수 있다.
성 교수는 “우리나라 사람을 대상으로 기생충 감염 및 잠복을 확인하기 위해 피검사인 항체검사를 실시한 결과, 개회충감염 표지자가 50%까지 발견되었다는 연구결과도 있는 만큼, 해외 여행력이 있거나 생식을 하는 경우 발열, 복통, 간기능 이상을 보인다면 개회충증 기생충 감염을 고려해 적극적인 검사와 치료를 시행할 필요가 있다”고 말했다.

