하와이 등 여행을 다녀온 미국 뉴잉글랜드 출신의 30대 여성이 기생충에 감염됐다.
18일(현지시각) 뉴욕포스트는 휴가를 마치고 돌아온 여성 A씨가 뇌와 척수에 염증을 일으키는 기생충 감염병 '광동주혈선충증(angiostrongyliasis)'에 걸렸다고 보도했다.
'쥐 폐선충'으로 알려진 감염병으로, 주요 숙주는 쥐이지만 날것이나 덜 익힌 음식 섭취시 인간도 감염될 수 있다.
감염된 달팽이나 민달팽이를 덜 익혀 먹거나 오염된 과일이나 채소를 먹은 경우, 감염된 달팽이를 먹은 민물 새우나 개구리를 섭취한 경우 등 다양한 경로를 통해 감염 될 수 있다.
여행 중에는 감염 사실을 몰랐던 A씨는 여행이 끝난 직후 약간의 피로감만 느꼈다. 그러나 증상이 점점 심해져 병원을 방문했다.
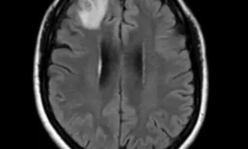
처음엔 아무 진단을 받지 못했지만, 온몸이 타는 듯한 통증과 심한 두통으로 다시 응급실로 향했을 땐 미국 매사추세츠 종합병원 소속 카를로스 카스티요 박사에게 기생충 감염을 진단받았다.
박사는 A씨가 여행을 다녀온 태국, 일본, 하와이 중 매년 10~12건의 감염 사례가 보고되는 하와이를 감염 원인으로 꼽았다.
카스티요 박사에 따르면 A씨의 동거인은 "그녀는 깬 후 휴가를 위해 짐을 싸야 한다고 생각했고 말릴 수 없었다"며 A씨가 몇 시간 동안 혼란스러운 상태를 보였다고 전하기도 했다.
쥐 폐선충의 증상은 오염된 음식을 먹은 후 몇 시간 또는 며칠 후에 메스꺼움, 구토, 복통으로 시작한다.
두통, 발열, 근육통, 피로, 불면증, 신경학적 증상이 나타날 수 있고, 목 경직과 통증, 피부 화끈거림 등과 발작까지 발생할 수 있다.
현재 감염에 대한 특별한 치료법은 없으며, A씨는 스테로이드 치료 후 6일 만에 퇴원했다.
<뉴시스>뉴시스>

